Mano con un guante quirúrgico azul sujetando un aparato de laboratorio en un laboratorio

Preparación y estudio de CLDN18.2

Aprenda a realizar la prueba de CLDN18.2 teniendo en cuenta el efecto de los factores pre-analíticos sobre la tinción.1,2

Círculos concéntricos grises sobre fondo claro

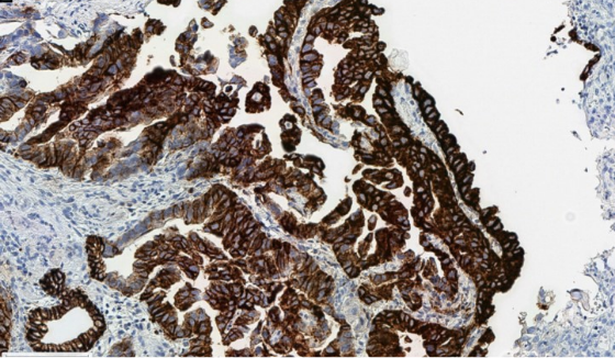
¿Cómo se utilizan los anticuerpos anti-CLDN18 para detectar CLDN18.2 en muestras de tumores G/UGE?

Los anticuerpos anti-CLDN18 pueden identificar ambas isoformas de CLDN18: CLDN18.1 y CLDN18.2. Sin embargo, cuando analice muestras de tejido de tumores G/UGE, puede confiar en atribuir la tinción a la presencia de CLDN18.2 debido a que2,3:

  • La CLDN18.1 se expresa principalmente en el tejido del adenocarcinoma pulmonar y su expresión es indetectable en los cánceres G/UGE.3
  • La CLDN18.2 está presente normalmente en el epitelio gástrico y, a menudo, se sigue expresando en el tejido gástrico metaplásico y neoplásico3

Preparación y estudio previo de las muestras

Manejar y preparar adecuadamente la muestra es esencial para garantizar la exactitud de los resultados de biomarcadores.

overlayimage
play-icon

preparación-y-análisis-de-las-muestras

Video Overlay Titlle

Video Overlay description

preparación-y-análisis-de-las-muestras

closeicon
volumeicon

preparación-y-análisis-de-las-muestras

closeicon

preparación-y-análisis-de-las-muestras

transcript

¿Cómo se preparan las muestras para la prueba de CLDN18.2?

Dr. Takeshi Kuwata

Varios círculos grises sobre fondo claro

Preparación de las muestras

Las guías recomiendan el mantenimiento diario del procesador de tejidos conforme a las recomendaciones del fabricante y un mantenimiento riguroso de la calidad de los líquidos del procesador, incluido el pH/pureza del formol y la contaminación del agua con alcoholes.1

Tiempo de isquemia fría

El tiempo de isquemia fría se limitará a ≤60 minutos de acuerdo con las guías actuales.1

Fijación

Las guías proporcionan recomendaciones sobre las características y la duración de la fijación de la muestra.1

Icono de una regla

Características clave1

  • El tejido deberá estar completamente sumergido en el fijador.

  • Asegúrese de que la relación entre el volumen del fijador y la masa de tejido no sea inferior a 4:1, siendo la relación óptima de 10:1.

  • La parafina se derretirá a <60 °C.

  • La muestra contendrá suficiente tejido tumoral para su análisis.

Icono de un despertador

Duraciones clave1

  • Como parte de su estabilización, el tejido se fijará en formol al 10 % en tampón fosfato neutro (pH 7,0) durante al menos 6 horas y no más allá de 24 a 36 horas.

  • Si el tejido tiene un alto contenido en grasa, la fijación podrá requerir hasta 48 horas.

Fijación del tejido deficiente1

Es importante optimizar las variables previas (pre-analíticas) al ensayo para minimizar los artefactos de tinción, lo que puede interferir con una correcta determinación.

Pérdida citoplasmática debido a fijación incorrecta

Decoloración citoplasmática debido a una fijación deficiente, lo que puede interferir con valoración adecuada de la expresión de membrana.

Preparación de las muestras2

  • Los tejidos procesados de forma rutinaria, fijados con formol e incluidos en parafina (FFPE), son adecuados para su uso en pruebas de IHQ.

  • Las muestras obtenidas mediante punción con aguja fina (PAF), las muestras de citología o de lesiones óseas metastásicas no son adecuadas para la tinción de CLDN18.

  • Los cortes de tejido pueden ser de 3-6 µm*

  • Antes de la tinción, los portaobjetos con los cortes deberán secarse por completo a temperatura ambiente (secado al aire) o en la estufa a 60 °C durante 60 minutos.*

*Especifico de CLDN18.

Condiciones de conservación1

Para garantizar la integridad de las muestras, las zonas de conservación deberán estar:

  • Secas

  • Libres de plagas

  • A temperatura ambiente (18-25 °C)

Círculos verdes sobre fondo oscuro
Círculos grises y verdes sobre fondo oscuro

Prueba

Opciones para la evaluación de la expresión IHQ de CLDN18.2

Hay varios anticuerpos, pruebas y plataformas disponibles para la evaluación de la expresión de CLDN18.2. Entre las pruebas y anticuerpos se encuentran la prueba de DIV VENTANA CLDN18 (43-14A), el anticuerpo anti-CLDN18 LSBio PathPlus™ y el anticuerpo recombinante anti-claudina 18 (43-14A). Entre las opciones de plataformas se encuentran BenchMark ULTRA, Dako Autostainer y Leica Bond.4

Esta lista de anticuerpos/pruebas y plataformas no es exhaustiva, y las pruebas mencionadas anteriormente no constituyen en la actualidad diagnósticos complementarios autorizados por la FDA. Utilice la prueba adecuada para orientar la toma de decisiones clínicas.

overlayvideoimage
play-icon

preparación-y-análisis-de-las-muestras

preparación-y-análisis-de-las-muestras

closeicon
volumeicon

preparación-y-análisis-de-las-muestras

closeicon

preparación-y-análisis-de-las-muestras

¿Cómo se realiza la prueba de CLDN18.2

Dr. Christoph Röcken?

Seleccione los controles adecuados

Es esencial utilizar controles adecuados para la detección de CLDN18.2 en muestras de tumores G/UGE. Aquí tienen algunos puntos clave para su selección y uso.5

Validación de la tinción

Las guías recomiendan que los laboratorios validen o verifiquen las pruebas de inmunohistoquímica antes de aplicarlas clínicamente. Además, deberán incluir controles externos de tejido positivo, negativo y dudoso, que reflejen el uso previsto de la prueba.5

En el mercado hay varios tejidos de control de distintos proveedores:

Controles externos

  • Se recomienda utilizar controles externos óptimos, tanto positivos como negativos2
  • Se ha demostrado que el epitelio gástrico normal que incluye áreas de metaplasia intestinal gástrica es un ejemplo de control positivo y negativo adecuado2:
    • Tinción de membrana intensa en células epiteliales gástricas normales.
    • Tinción de membrana de débil a moderada de células epiteliales en áreas de metaplasia.
    • Ausencia de tinción en la lámina propia, linfocitos, músculo liso, vasos sanguíneos y nervios periféricos.
  •  

  • Si los controles positivos no permiten demostrar la tinción, los resultados de la muestra de prueba se considerarán no válidos.2
  • Se utilizarán tejidos de control positivo conocidos únicamente para hacer un seguimiento del rendimiento de los reactivos y los instrumentos, no como ayuda para determinar el diagnóstico específico de las muestras a estudio.

CLDN: claudina; CLDN18.1: isoforma 1 de la claudina 18; CLDN18.2: isoforma 2 de la claudina 18; IVD: in vitro diagnostic; FDA: Administración de Alimentos y Medicamentos de Estados Unidos; IHQ: inmunohistoquímica; G/UGE: gástrico/unión gastroesofágica.

Plataformas y características de rendimiento de los anticuerpos

En un estudio de evaluación de la reproducibilidad y comparabilidad de tres anticuerpos anti-CLDN18 y plataformas de tinción con IHQ en una cohorte de 27 laboratorios generales4,*,†:

  • El rendimiento analítico (precisión, sensibilidad y especificidad) de la prueba de IVD clase I VENTANA CLDN18 (43-14A) fue >95 % y esta fue reproducible en los 27 laboratorios, comparando con los resultados del consenso de referencia.4
  • El rendimiento analítico del anticuerpo de LSBio en plataforma de Dako o Leica fue equivalente al del ensayo IVD VENTANA (43-14A).4
  • La tinción fue reproducible para el anticuerpo de LSBio en los 27 laboratorios participantes.4
Varios círculos grises sobre fondo claro

Las determinaciones de biomarcadores de forma refleja, en el momento del diagnóstico, pueden mejorar los resultados de los pacientes7

El retraso en la determinacióna de biomarcadores puede empeorar los resultados clínicos7

La determinación de biomarcadores de forma refleja permite iniciar antes la terapia dirigida, lo que mejora los resultados clínicos.7

En una cohorte de pacientes con tumores avanzados de diferentes tipos (N = 1423), el establecimiento de un protocolo de determinación de biomarcadores de forma refleja, en el momento del diagnóstico, se asoció a una mejora de la supervivencia global.7

SG a los 12 meses
70,1%
(IC 95 %: 64,4-76,3) en pacientes tratados con terapia dirigida
62,9%
(IC 95 %: 58,8-67,3) en pacientes tratados solo con quimioterapia

Tenemos evidencias de que las determinaciones de biomarcadores reflejas mejoran los resultados de los pacientes. Es fundamental que, en el momento del diagnóstico, los patólogos defiendan la determinación de los biomarcadores existentes para cada tipo tumoral.

Dr. Matteo Fassan

Foto de perfil del Dr. Matteo Fassan
MatteoFassan

La determinación de biomarcadores de forma refleja mejora la atención al paciente, ya que la pronta disponibilidad de los resultados de los biomarcadores permite iniciar antes una terapia sistémica dirigida adecuada.7

spirals_corner
how-to-prepare-stains

Más información sobre la interpretación de la expresión de CLDN18.2

Referencias: 1. Compton CC, Robb JA, Anderson MW, et al. Preanalytics and precision pathology: pathology practices to ensure molecular integrity of cancer patient biospecimens for precision medicine. Arch Pathol Lab Med 2019;143(11):1346-63. 2. Ventana CLDN18 (43-14A) assay [package insert]. Mannheim, Germany: Roche Diagnostics GmbH. 3. Sahin U, Koslowski M, Dhaene K, et al. Claudin-18 splice variant 2 is a pan-cancer target suitable for therapeutic antibody development. Clin Cancer Res 2008;14(23):7624-34. 4. Jasani B, Schildhaus HU, Taniere P, et al. Global ring study determining reproducibility and comparability of CLDN18 testing assays in gastric cancer. Poster presented at: ESMO Targeted Anticancer Therapies Congress; March 6-8, 2023; Paris, France. 5. College of American Pathologists. IHC assays—New evidence-based guideline for analytic validation (04-01-2004). https://documents.cap.org/documents/ihc-validation-webinar-handout.pdf. Accessed 03-30-2023. 6. ESMO Gastric Cancer Living Guidelines (07-2023). https://www.esmo.org/living-guidelines/esmo-gastric-cancer-living-guideline/diagnosis-pathology-and-molecular-biology/article/diagnosis-pathology-and-molecular-biology. Accessed 09-07-2023. 7. Piening B, Bapat B, Weerasinghe RK, et al. Improved outcomes from reflex comprehensive genomic profiling-guided precision therapeutic selection across a major US healthcare system [Abstract 6622]. J Clin Oncol 2023;41(Suppl 16).